Contact Us New Patients
The DC Dentist
  • Mon, Tue, Fri: 9:00am – 5:00pm
  • Early Wed: 7:00am – 3:00pm
  • Late Wed: 10:00am - 6:00pm
  • Thu: 10:00am – 5:00pm
  • 509 11th St SE,
    Washington, DC 20003
  • staff@thedcdentist.com
  • (202) 951-8402
Book Appointment

Menu

Main Menu
  • Services
    • General Dentistry
    • Eco-Dentistry
    • Holistic Dentistry
    • Cosmetic Dentistry
      • Clear Aligners
      • Porcelain Veneers
      • Teeth Whitening
    • Restorative Dentistry
      • Dental Implants
      • Dentures
  • Smile Gallery
  • About Us
    • Meet the Team
      • Dentists
      • Hygienists & Dental Assistants
      • Support Staff
    • Testimonials
    • Office Tour
    • Community Involvement
      • Upcoming Events
      • Events
      • Community Event Form
    • FAQs
    • Staff Videos
  • Blog
  • Patient Info
    • Insurance & Financing
    • Special Offers
    • Dental Implants Form
    • News
  • Mon, Tue, Fri: 9:00am – 5:00pm
  • Early Wed: 7:00am – 3:00pm
  • Late Wed: 10:00am - 6:00pm
  • Thu: 10:00am – 5:00pm
  • 509 11th St SE,
    Washington, DC 20003
  • staff@thedcdentist.com
  • (202) 951-8402
Book Appointment

Smile Gallery

Clear Braces

Before
Before
After
After

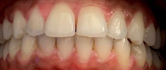
Our patient started coming to the office shortly after his wife found us. He had a lot of tartar which we removed during his professional cleaning. Dr. Victor saw his bite was off and our patient followed Dr. Victor's recommendation to start Clear Braces. Now that braces are off, he and his wife continue to come regularly for their professional cleanings and they both have fantastic smiles without heavy build up of tartar. A win-win for the family.

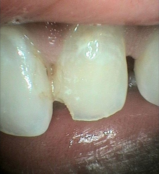
Filling

Before
Before
After
After

Our newest patient had moved away from her old dentist when she discovered our Holistic office. Wanting to know more, she came ready with questions. Dr. Victor put her at ease, then carefully removed all decay from her front teeth and filled them in. She left with a big bright smile and her next appointment.

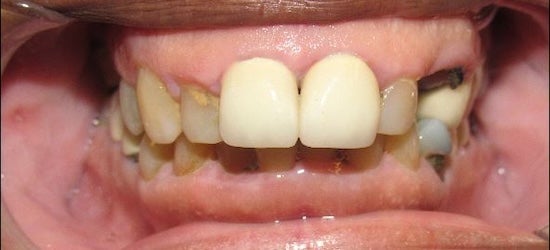
Crowns & Bridges

Before
Before
After
After

Our patient came in saying his mouth was pretty messed up. He had lost hope in getting back his smile until he heard Dr. Victor speaking at an event. He traveled for 3 hours to our office. Living out of state was not going to deter him. He told friends he felt really comfortable at our office. Now he can't stop smiling. He said his new smile boosted his confidence and he wouldn't go anywhere else, The DC Dentist is home and family.

Crowns

Before
Before
After
After

She would be heading to the Prom and needed her tooth fixed right away. She had Graduation and Prom pictures to take. Upon entering our office you could feel her anxiety looming like a dark cloud over her head. Questions, could it be done just so and will it look like my other teeth... By the time she left with giggles and a whole new smile it was like she changed into someone new. The confidence and the pride lead her to smile all afternoon long.

Teeth Whitening

Before
Teeth whitening before
After
Teeth whitening after

Our patient Patrice wanted to be picture-perfect for her wedding day, so we performed a professional teeth whitening treatment to help her achieve a radiant, wedding-ready smile.

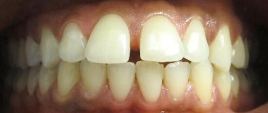
Crowns

Before
Before
After
After

An accident as a child changed how this young man ate, talked and smiled at others. He entered our office as a teen and is able to smile again with confidence. Not to mention eat and has plenty to talk about.

Our Team

  • Dr. Terry Victor
  • Dr. Indra Mustapha
  • Kiana
  • Elise
  • Andrea
  • Chanel

Services

General Dentistry
Eco-Dentistry
Holistic Dentistry
Cosmetic Dentistry
  • Clear Aligners
  • Porcelain Veneers
  • Teeth Whitening
Restorative Dentistry
  • Dental Implants
  • Dentures

Share this content

  • twitter
  • email
  • linkedin
  • facebook

Tell us what you think!

Review us
The DC Dentist

Visit our office to get the latest in top-quality dental care along with unparalleled service.

Visit Us On


Links

About Us

Testimonials

Contact Us

Privacy

Accessibility

Login / Account


Get In Touch

509 11th St SE
Washington, DC 20003

(202) 951-8402

staff@thedcdentist.com


How Are We Doing


©2026 The DC Dentist. Resource Articles ©2026 Genius Platforms. All Rights Reserved. Dental websites by Blumberg Digital & Genius Platforms.