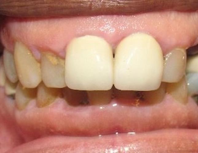
Our patient came in saying his mouth was pretty messed up. He had lost hope in getting back his smile until he heard Dr. Victor speaking at an event. He traveled for 3 hours to our office. Living out of state was not going to deter him. He told friends he felt really comfortable at our office. Now he can't stop smiling. He said his new smile boosted his confidence and he wouldn't go anywhere else, The DC Dentist is home and family.

Anonymous
Before
After